顎関節症
顎関節症
2025年10月1日
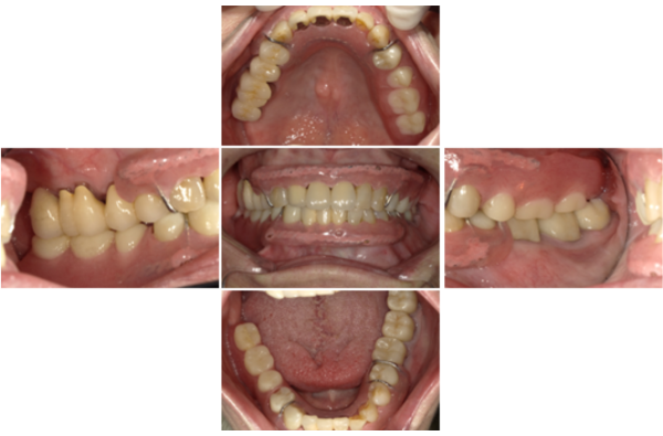
低位咬合
2025年10月1日
左顎関節症(開閉口時疼痛)、不随症として頭痛、左側咬合不全症
2025年10月1日
右顎関節症(開口障害・開閉口時の疼痛)、右40肩(不随症として)
2025年10月1日
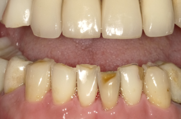
舌背の汚れ
2025年10月1日
入れ歯の中に組み込んだ歯を普通に戻した症例
2025年10月1日咬合異常
2025年9月26日
エアフロー(ステイン除去)
2025年9月25日