24時間WEB予約
府中駅から徒歩3分
電話予約
TEL. 042-352-1551
詳しいアクセス情報はコチラ
ホーム
Home
医院紹介
Clinic
顎関節症治療
Occlusion
噛み合わせの治療
Bite
院長紹介
Staff
アクセス
Access
24時間WEB予約
駅から徒歩3分
電話予約
Home
医院紹介
院長紹介
診療案内
顎関節症治療
噛み合わせの治療
補綴治療
お問い合わせ
顎関節症
TOP
症例
噛み合わせ
顎関節症
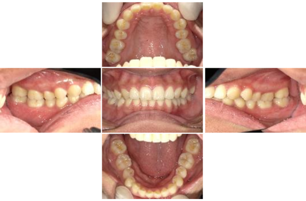
治療前
治療後
年齢・性別
30代・女性
ご相談内容
顎関節症(左側)口の開け閉めする際に痛い
治療期間・治療回数
約1年3か月 17回
費用
859,790円(税込み)
781,628円(税抜き)
カウンセリング・診断結果
顎関節症 左側臼歯関係 咬合関係が脆弱
行ったご提案・治療内容
対処療法ならスプリント療法。ただし、限界はある。もう一つは、噛み合わせ由来ゆえに、矯正での抜本療法としての対応。
患者は、最初はスプリント療法選択。物理的制約が落ち着いてから、抜本療法へ移行。矯正選択。
術後の経過・現在の様子
口がまっすぐ開けられるようになった。かつてあった首コリ、肩こり等気にならないレベルになった。体の重心のバランスが良くなった。
治療のリスクについて
クリニックより
顎関節症は、スプリントで収まればうれしいですが、その限りでない時もあります。
その限りでない時、いかに外科的侵襲をしないで、あるいは可及的に外科的侵襲をしないで治せるプロセスに向かわせるか。そこが大事なのかなって考えています。