24時間WEB予約
府中駅から徒歩3分
電話予約
TEL. 042-352-1551
詳しいアクセス情報はコチラ
ホーム
Home
医院紹介
Clinic
顎関節症治療
Occlusion
噛み合わせの治療
Bite
院長紹介
Staff
アクセス
Access
24時間WEB予約
駅から徒歩3分
電話予約
Home
医院紹介
院長紹介
診療案内
顎関節症治療
噛み合わせの治療
補綴治療
お問い合わせ
左顎関節症(開閉口時疼痛)、不随症として頭痛、左側咬合不全症
TOP
症例
噛み合わせ
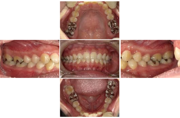
左顎関節症(開閉口時疼痛)、不随症として頭痛、左側咬合不全症
治療前
治療後
年齢・性別
20代・女性
ご相談内容
左顎関節症(開閉口時疼痛)、頭痛。ネットでこの様な症状に強いと思い来院。
治療期間・治療回数
約9か月 治療回数16回
費用
税抜332,630円
カウンセリング・診断結果
左顎関節症(開閉口時疼痛)、不随症として頭痛、左側咬合不全症
行ったご提案・治療内容
①左側の咬合不全に対し、咬合接触感を仮想として提供。
②左顎関節症(開閉口時疼痛)、頭痛が即座に消失・改善。
③この体験により左側咬合不全の改善を行う事が必要と納得。
術後の経過・現在の様子
左顎関節症(開閉口時疼痛)、頭痛で悩まなくなった。ただ、仕事柄慢性的な凝り性に陥りがちと理解(作業関連性筋痛症)。
この影響から歯牙の損傷防止の為定期的に機能回復をメインテナンスとして行う。
治療のリスクについて
クリニックより
当院は開業以来何故か機能障害に罹患する方との出会いが多く、結果としてその対応法を会得したようです。
デスクワーク・マスク使用はどうしても作業関連性筋症の影響を受けやすいようです。影響を受けた結果、歯牙の損傷に繋がる事があるようです。その際に、適切な歯科治療を受けられなかった場合、今症例のような事象が起こるようです。