24時間WEB予約
府中駅から徒歩3分
電話予約
TEL. 042-352-1551
詳しいアクセス情報はコチラ
ホーム
Home
医院紹介
Clinic
顎関節症治療
Occlusion
噛み合わせの治療
Bite
院長紹介
Staff
アクセス
Access
24時間WEB予約
駅から徒歩3分
電話予約
Home
医院紹介
院長紹介
診療案内
顎関節症治療
噛み合わせの治療
補綴治療
お問い合わせ
右顎関節症(開口障害・開閉口時の疼痛)、右40肩(不随症として)
TOP
症例
噛み合わせ
右顎関節症(開口障害・開閉口時の疼痛)、右40肩(不随症として)
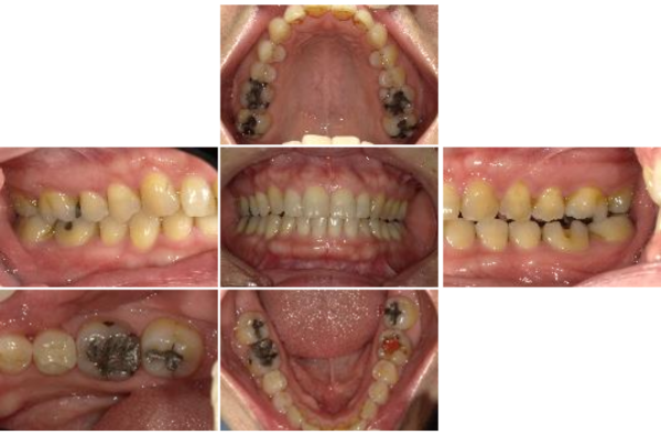
治療前
治療後
年齢・性別
50代・女性
ご相談内容
右下56に自費のセラミックを他院にてセット。その後顎が痛くなり(顎関節症)、その後左下6インレー脱離。右40肩発症。これは嚙み合わせと関係があるのでしょうか。
治療期間・治療回数
2回
費用
税別27,000円
カウンセリング・診断結果
右側顎関節症。右下56由来の顎偏位症。
行ったご提案・治療内容
まず、右下56摂食時歯牙に疼痛あり。干渉を疑い、早期接触の除去を提案。
①右顎関節部圧痛点あり。正常と思われる位置に顎を誘導すると圧痛点消失。
②上がらない右腕を多少上げると過剰接触部出現。この現症を共有したのち、患者には心当たりがあり、そこで咬合調整に同意。
③機能障害としての40肩、それを口腔由来の体性感覚異常と予測し、口腔接触感覚(歯牙の対咬関係の再現)の回復を提案。
術後の経過・現在の様子
嚙み合わせと身体の関係がこんなにあると思わなかった。三法(指圧・整復・鍼灸)の資格があり、自分で対応出来ると思っていたが甘かった。口の中の問題、口由来の問題は専門知識のある歯科医でないとどうにもならない。顎関節症等の専門知識のある歯科医かそうでない歯科医で人生が変わると思った。「馴れますよ」って言葉は時として、歯科医の方便と思いました。これで仕事に戻れますので感謝します。
治療のリスクについて
クリニックより
機能障害という視点をお持ちの歯科医がどれくらいいらっしゃるのか。
当院は開業以来何故か機能障害に罹患する方との出会いが多く、結果としてその対応法を会得したようです。